BEFORE AND AFTER GALLERY
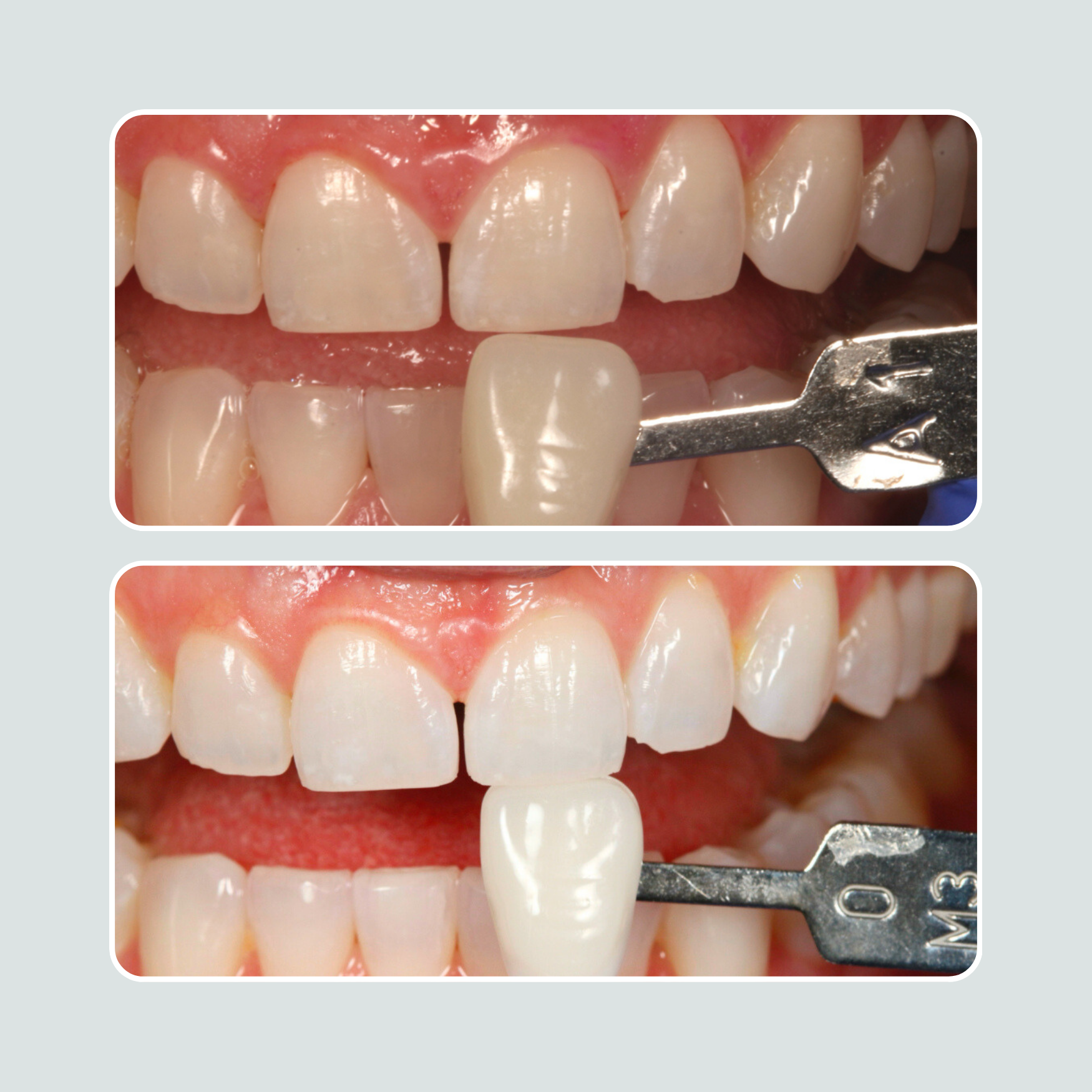
When you’re investing in cosmetic dentistry, one of the most important questions you can ask is: “Can I see examples of your actual work?”
Many dental websites showcase perfect smiles that may not have been created in their office. At Charleston Dental Studio, we show you only real smiles from our real patients. Every photo reflects work personally completed by Dr. Julie Driscoll and our team.


