Skip to main content

A Modern, Comfortable Way to Keep Your Smile in Place

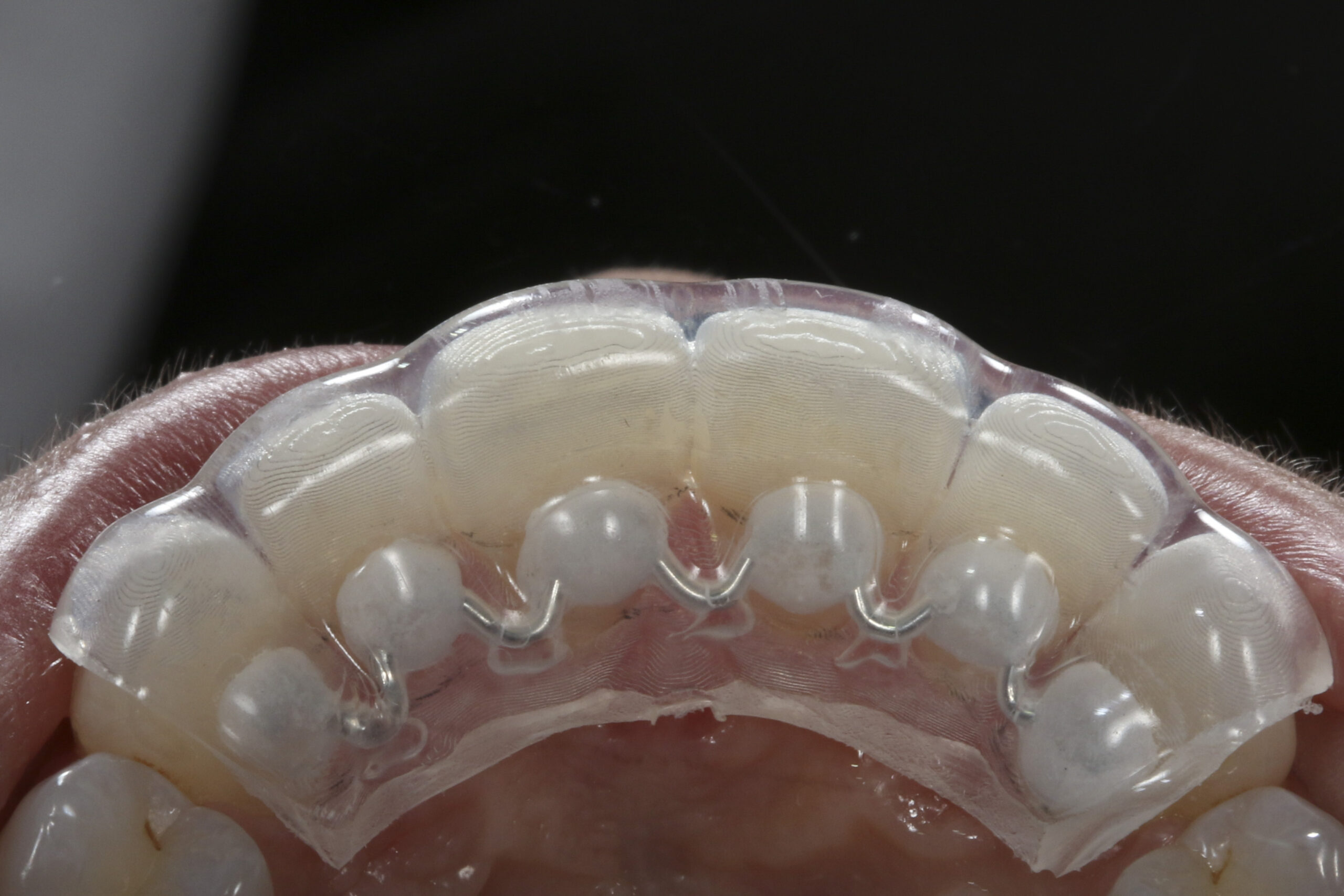
A scalloped metal lingual retainer is a discreet, custom-made wire bonded to the back of your teeth to keep them perfectly aligned after orthodontic treatment. Unlike traditional flat retainers, the scalloped design follows the natural curve of your gumline, making it smoother, more comfortable, and easier to clean.

At Charleston Dental Studio, we take smile retention seriously. After investing time and care into creating your ideal smile, we want to ensure it stays just the way you love it—without compromising comfort or oral health.

 

Why Choose a Scalloped Design?

Traditional fixed retainers are straight across, which can sometimes cause food traps, plaque buildup, and irritation to the gums. A scalloped lingual retainer is carefully shaped to mimic the gumline, offering several advantages:

  • Better Comfort: The curved edges fit naturally against your gums, reducing irritation.

  • Easier to Clean: The scalloped shape allows for more natural flossing and improved gum health.

  • Discreet Appearance: Bonded behind the teeth, it’s completely invisible when you smile.

  • Long-Lasting Stability: Helps prevent unwanted tooth movement after orthodontic treatment or esthetic work.

Who Can Benefit from a Scalloped Lingual Retainer?

Patients who have completed Invisalign® or braces.

Those with a history of tooth movement after orthodontic treatment.

Patients who want long-term protection without a visible retainer.

People combining retention with cosmetic work, like veneers or bonding, to maintain final results.

 

 

scalloped lingual retainer maxillary metal hygienic retainer
hygienic retainer on back of teeth
application of fixed retainer

Caring for Your Retainer

Our Process at Charleston Dental Studio

  1. Evaluation & Planning
    We assess your smile, bite, and long-term retention needs to determine if a scalloped lingual retainer is the right choice for you.

  2. Precise Digital Scan
    Using our iTero® scanner, we take a quick, comfortable 3D image of your teeth. No messy impressions needed.

  3. Custom Fabrication
    Your retainer is made by Specialty Appliances, a leading orthodontic lab, using precise scalloping for optimal fit and comfort.

  4. Bonding Appointment
    We carefully place the retainer on the back of your teeth using strong, tooth-safe bonding material. You’ll leave with your smile protected the same day.

  5. Care Instructions
    We’ll teach you how to keep your retainer and gums healthy with floss threaders, water flossers, or interdental brushes.

Daily Cleaning: Floss under the wire once a day and brush carefully around the retainer.

Regular Checkups: We inspect the retainer at every hygiene visit to ensure it’s intact and secure.

Avoid Hard Biting: Chewing ice or biting very hard foods can loosen the bond.

 

Why Patients Love Our Scalloped Lingual Retainers

Our patients say they forget they even have one—until they remember how straight their teeth have stayed. The comfort, invisibility, and long-term peace of mind make this a top choice for lasting smile protection.